A python package to read, analyse and visualize OCT and fundus data from various sources.
Dec 21, 2023
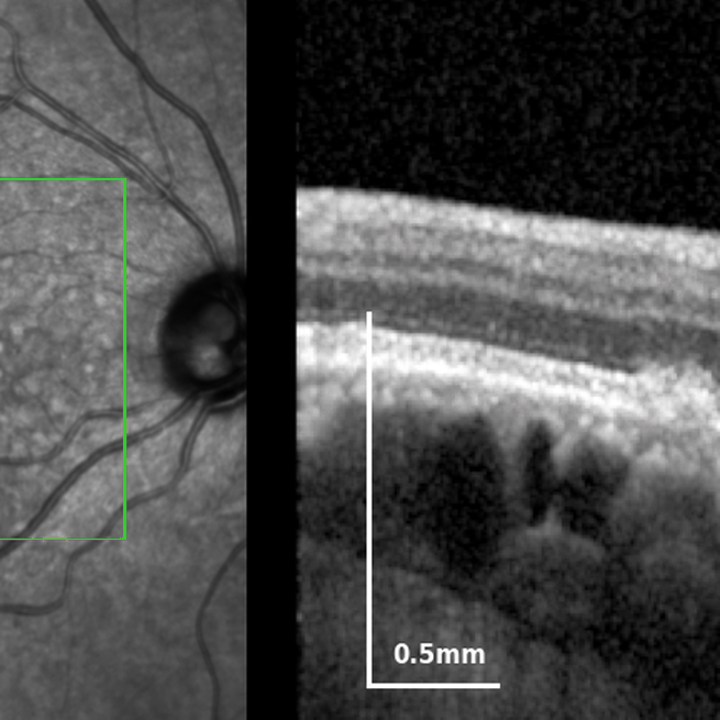
Dockerized CLI for OCT layer segmentation and drusen quantification
Dec 20, 2023
EyeLab is a multimodal annotation tool (GUI) for ophthalmological imaging data.
Jul 1, 2022